磁共振图像引导放射治疗技术在胰腺癌治疗中的临床应用
胰腺癌是目前预后最差的实体肿瘤,相对于手术和化疗,放疗在胰腺癌治疗中的作用处于辅助地位。
近年来,放疗技术出现了一些大的进展,这些进展逐步地在胰腺癌的诊疗过程中被应用。
本文梳理了放疗技术在治疗胰腺癌方面的进展,重点介绍了磁共振图像引导放疗技术在胰腺癌治疗中的临床应用,旨在帮助读者了解胰腺癌放疗方面的进展,并展望未来的发展方向,为提高胰腺癌患者的生存率提供参考。
胰腺癌是全球死亡人数第三、死亡率第一的恶性肿瘤。在所有实体肿瘤中的5年生存率最低,约为11%。胰腺导管腺癌(pancreatic ductal adenocarcinoma,PDAC)占所有胰腺癌的90%以上。
近年来,胰腺癌的发病率在全球范围内呈上升趋势,未来可能成为实体肿瘤中导致死亡的最主要癌种。
针对胰腺癌的治疗通常会结合多种方法,包括手术、化疗、放疗、免疫疗法以及靶向治疗,其中手术是胰腺癌治疗的基石,但即便是R0切除(肿瘤完整切除)的病例也容易发生复发以及远处转移的情况。所以,对于不可手术切除的局部晚期胰腺癌(locally advanced panereatic cancer,LAPC),化疗和放疗的单纯使用或者联合使用是重要的替代治疗方案。胰腺所处的位置解剖结构复杂,紧靠十二指肠等危及器官(argan at risk,OAR)。由于胰腺癌细胞对辐射相对不敏感以及周围存在多个OAR,传统放疗技术在胰腺癌的治疗中会带来剂量分布的限制和严重的不良反应。另外,胰腺靠近横隔膜和十二指肠,呼吸运动和胃肠蠕动都会导致肿瘤和周围器官有较大幅度的形变、位移和旋转。传统的治疗方式通常牺牲更多的正常组织扩大射野,以确保胰腺癌得到足够的剂量,这限制了放疗在胰腺癌中的应用。
相较于常规分割治疗,体部立体定向放疗(stereotacticbody radiation therapy,SBRT)具有单分次剂量高、总治疗分次少、治疗效率高、靶区外剂量跌落迅速等优点,被认为是目前胰腺癌放疗的主要手段。考虑到SBRT的高剂量照射效率,其对于放疗的质量控制更为严格。
图像引导放疗(image guided radiation therapy,ICRT)提升了肿瘤放疗的剂量投递精准性。目前主流的IGRT技术基于锥形线束CT(cone-beam CT,CBCT)图像,CBCT图像软组织对比度相对较差,而且由于成像有辐射,通常仅在放疗前后进行配准及评估使用。这种缺陷在胰腺癌放疗中表现得尤其明显,容易造成配准失误导致放疗脱靶。为了避免放疗脱靶的发生,医生通常会勾画更大范围的计划靶区(planning target valume,PTV),这使得OAR的不良反应风险增加并且让剂量推量变得不可行。
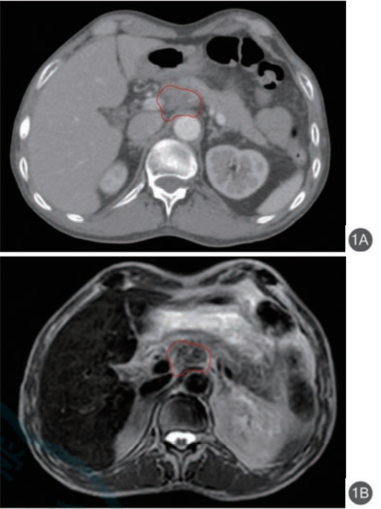
由于磁共振图像显示的是氢原子在人体组织中的密度而不是电子密度,其在软组织成像上有着相比于CT图像更高的对比度与清晰度(图1)。这些优点使其非常适用于治疗软组织区域及器官活动明显的肿瘤,磁共振图像引导放疗(magnetic resonance image guided radiation therapy,MRIgRT)由此成为一项新兴的研究热点,它的出现使得SBRT技术的应用更加安全,其在胰腺癌放疗中有着广阔的应用空间。
注:红线为计划靶区
图1 胰腺癌患者同一横截面下参考计划CT图像(1A)与1.5 T磁共振加速器在线MR图像(1B)的对比
磁共振图像引导放疗
MRIgRT是融合了磁共振成像与放疗的革命性放疗技术,在MRIgRT平台上可以更容易实现自适应放疗(adaptive radiation therapy,ART),它可根据磁共振图像获取的每次治疗前摆位的患者解剖结构信息在治疗前进行相应的剂量分布调整,及时修正摆位和器官形变带来的误差。由MRldian磁共振钴治疗机(Viewray,Oakwood,美国)改造后的MRldian磁共振加速器(Viewray,Oakwood,美国)以及Unity磁共振加速器(Elekta,Stockholm,瑞典)是MRIgRT商用化以及科研的主流设备。关于MRIdian系统的文献更加丰富,因为该系统更早被应用于临床。表1比较了2套磁共振加速器的软硬件特性。
表1 Elekta Unity与ViewRay MRldian磁共振加速器的特性比较
MRIgRT的最大优势是可以在线执行自适应放疗,针对靶区及OAR在分次间及分次内的运动进行处理,使每次放疗都是个体化的。以Unity加速器为例,在治疗患者前,根据每次患者的情况不同,可分别选择位置自适应(adapt toposition,ATP)以及形状自适应(adapt to shape,ATS)流程。若患者整体以及内在解剖结构与参考计划差异不大,或仅是整体有位移偏差,可选择ATP流程,将射束调整到成像目标位置。若患者肿瘤、体形或OAR有较大形状改变,则需要选择ATS流程重新根据当次磁共振图像修改靶区及OAR,再重新进行计划优化。现在对于ATS与ATP的选择还没有定量统一的标准,通常是根据每个放疗机构自己的经验而定,图2显示了不同情况下对两种流程的选择逻辑。MRIdian系统的自适应放疗流程与ATS流程相似,严格来说ATP不是一种自适应放疗技术,因为ATP主要通过改变MLC的形状和权重的方式来实现传统IGRT技术移床后的效果,并不会修改靶区以及OAR。
图2 Unity磁共振加速器在不同情况下位置自适应(ATP)和形状自适应(ATS)流程的选择逻辑
在治疗过程中电影MRI(Cine-MRI)技术可以安全实时地通过显示矢状面磁共振图像观测肿瘤运动幅度,实现了实时的治疗监控,这种功能提供了门控技术的基础,更进一步确保了治疗的准确性。以MRIdian系统为例,该技术允许选择一个门控目标,目标可以是肿瘤也可以是OAR,由医生在初始MRI中定义目标的门控边界,并在每次治疗前选择一个矢状面作为电影MRI成像参考平面,在治疗时系统会自动形变映射门控边界至后续的每一帧电影MRI,并与之前定义的门控边界进行比较,如果目标在治疗期间超出了定义的边界,则射束会自动停止,医生可以设定目标超出定义边界的百分比以允许磁共振图像中的噪声和形变配准中的不确定性所导致的微小误差,实现了对治疗区域的实时监测与管理。
胰腺癌磁共振图像引导放疗的临床应用
Henke等首先报道了5位接受立体定向磁共振自适应放疗(stereotactic MR-guided adaptive radiotherapy,SMART)的胰腺癌患者,处方剂量为50Gy分5次,没有发生3级及以上的不良反应,提示SMART可以实现剂量加量。
Luterstein等分析了1例使用SMART技术的69岁LAPC患者,发现SMART在增加治疗准确性,减少不良反应,实现局部控制方面发挥了重要作用。该患者在化疗后接受放疗的生物有效剂量(biologically effective dose,BED)达到72Gy,没有产生显著的不良反应。
Rudra等回顾性分析了44例不可切除胰腺癌患者MRIgRT治疗的结果,依据是否剂量加量将患者分为标准剂量组与高剂量组,发现高剂量组相对标准剂量组有着更高的2年总生存率(49%:30%,P=0.030),并且3级及以上不良反应均在标准剂量组,提示高剂量MRIgRT治疗不能手术的胰腺癌可改善总生存率,MRIgRT是可以实现剂量加量的。
2021年,Chuong等针对35例胰腺癌患者使用5分次SMART的回顾性分析结果显示,4例患者出现2级不良反应,2例患者出现3级不良反应,1年局部进展率为87.8%。这证明针对不能手术的胰腺癌患者使用50Gy分5次的MRIgRT是可行的,每次治疗进行在线自适应再计划可以获得良好的早期局部控制率,同时产生的不良反应有限。
2022年,Chuong等将样本扩大到62例不可切除非转移性PDAC患者,这些患者在化疗后接受了5分次消融立体定向磁共振自适应放疗(ablativestereotactic MR-guided adaptive radiatiotherapy,A-SMART)。结果显示,与单独化疗相比,结合化疗与A-SMART的治疗策略对于大部分患者可以实现可持续的局部控制以及最小化的不良反应。这为使用SMART增加剂量治疗原发不可切除PDAC提供了又一有力的论据。
Bryant等和Hassanzadeh等针对A-SMART治疗胰腺癌患者的研究均得出了与Chuong等 相似的结论,并且认为包括胰腺癌在内的腹部及骨盆移动明显的肿瘤都可以通过SMART实现剂量加量。
Bryant等的研究表明,对于75岁以上的老年PDAC患者,A-SMART是一种值得考虑的治疗形式。Doty等 的研究发现胰腺癌局部复发的SMART再程放疗可以提高治疗率,特别是对于靠近关键OAR的病变。Parikh等针对LAPC以及临界可切除胰腺癌进行了首个5分次SMART多中心前瞻性2期临床试验,入组患者136例,虽然8.8%的患者产生了≥3级胃肠道不良反应,但并不能确定其直接由放疗引起,后续还有更长期的随访数据正在收集。
大量的文献显示,使用0.35T磁共振加速器或磁共振钴治疗机针对胰腺癌患者的SMART是可以实现剂量加量的,同时不会产生严重的不良反应。
Tringale等使用1.5T磁共振加速器针对30例胰腺癌患者进行剂量加量的A-SMART治疗,得出的结论与在0.35T磁共振加速器上的研究类似,患者有较高的1年局部控制率(78.8%)并且没有任何严重的不良反应(≥3级)发生。表2统计了文献报道的一些中心近年来使用MRIgRT技术治疗胰腺癌的临床研究情况。
表2 胰腺癌磁共振图像引导放疗的相关临床研究
胰腺癌体部立体定向放疗的局限性
现有的研究表明,放疗主要对不可切除胰腺癌的治疗具有显著的临床价值。针对局部晚期不可切除的胰腺癌患者,传统的常规分割处方为总剂量40~60Gy,单次剂量1.8~2Gy,并结合化疗。与单独常规分割放疗相比,这种联合放化疗的手段没有显著提高生存率,甚至根本没有提高。
与传统放疗相比,SBRT有着更好的临床疗效和更低的不良反应,因此SBRT作为主流的胰腺癌放疗手段如今广泛地用于临床治疗。有证据显示,胰腺癌多分次SBRT相对单次SBRT可以显著降低胃肠道不良反应。然而,由于胰腺癌放疗分次间及分次内的胃肠道器官不可避免地产生明显的相互运动、内部运动以及形状的变化,这导致传统SBRT技术对OAR吸收剂量的限制变得复杂化,通常针对胰腺癌的传统SBRT剂量为25~45Gy分5次,BED不超过70Gy。
总的来说,SBRT技术被广泛应用于胰腺癌的放疗,总体取得了不错的疗效,然而由于图像引导技术的限制,治疗处方剂量被限制在较低水平,无法进一步实现剂量加量,导致患者预后不佳。同时,即便是以较低的剂量执行SBRT,也容易造成严重的胃肠道损伤。多数MRIgRT治疗胰腺癌相关的研究将重点放在针对SBRT的剂量加量是否可行,因为这是传统SBRT治疗胰腺癌的一大缺陷。
由于OAR的敏感性以及胰腺癌细胞的放射抵抗性,传统的SBRT技术无法将单分次剂量提升过大,这会导致严重的不良反应,而较低剂量无法保证对肿瘤细胞的彻底杀伤,导致局部控制率以及总生存率不理想。
胰腺癌磁共振图像引导放疗的意义
在MRIgRT技术平台下,可以实时修改靶区、OAR及放疗计划,使剂量分布更加精准,同时使剂量加量成为可能,在不增加OAR不良反应的情况下向靶区投递更多的剂量(通常能使靶区BED达到70Gy以上),当自适应再计划使靶区体积缩小时这种优势非常明显。较多的研究表明,0.35T磁共振加速器或磁共振钴60治疗机在这方面是有优势的,然而关于1.5T磁共振加速器的临床研究暂时还比较缺乏。
根据已发表的文献,1.5T磁共振加速器相较0.35T加速器有更低的不良反应,但没有明显的临床疗效优势。MRIgRT同时也是是一种资源密集型技术,在治疗过程中需要多部门工作人员协同配合,治疗时间相比传统放疗技术大幅延长,也更昂贵。针对MRIgRT的临床分析需要大量且长时间跟踪的数据支持,目前的研究面临着缺乏高质量和长期临床数据的挑战。这主要是因为MRIgRT技术的发展还处于早期阶段,需要有更长期的随访、更多的数据来证明其治疗胰腺癌的有效性。
MRIgRT面临的物理问题
磁共振图像信息不包括电子密度,这导致需要基于定位CT中各器官的平均电子密度对磁共振图像进行电子密度赋值,并使用赋值后显示的合成CT制订放疗计划,合成CT的存在会导致计划计算精准度变差。此外,磁场的存在也会产生电子回旋效应(electron return effect,ERE)与电子流效应(electron stream effect,ESE),这两者都会导致靶区外剂量增加。ERE通常产生于电子密度极大幅度变化的组织边界,如在皮肤-空气或肺-胸壁交界面附近会产生剂量增加。在前列腺癌、直肠癌、膀胱癌的治疗中,由于直肠空腔的存在会通过ERE导致直肠壁上的剂量增加。考虑到1.5T磁共振加速器系统中由于更高强度的存在会产生更大的剂量影响,需要更精准的电子密度赋值以考虑ERE效应。ESE对胸部肿瘤如乳腺癌的MRIgRT影响较大,会造成患者下颚皮肤剂量增加。从现有的研究来看,暂时没有证据表明合成CT、ERE、ESE会对胰腺癌的MRIgRT造成较大剂量影响,但这并不表明MRIgRT设备中存在的以上物理问题是可以被忽略的。
MRIgRT计划设计的注意事项
由于MRIgRT技术的特殊性,其计划设计与普通计划有所区别。以下是根据本中心经验总结的1.5T磁共振加速器放疗计划设计需要注意的几点:
(1)由于MR图像缺乏电子密度信息,必须把MR图像中的空腔以及骨性结构等组织勾画出来进行电子密度赋值,并将其与靶区结构一起排序在靠前的位置,以避免不正确的电子密度信息导致剂量计算结果准确度降低。
(2)在添加床板、治疗床以及线圈等结构时,也需注意其位置尽量与实际治疗时的情况相吻合。由于磁共振加速器的特殊性,治疗床位置的微小差异会带来较明显的剂量误差。
(3)射野经过低温冷槽管会带来剂量衰减的不确定性,其在计划系统中会显示为一红色线圈。通常在布野时通过观察射野方向观,查看射野是否穿过低温冷槽管,若穿过则及时调整射野角度避开。
(4)在布野时建议绕过110°~135°与239°~255°,若在以上角度出束会导致射线在经过治疗床的结构时出现很大程度的衰减。
(5)由于胰腺癌周围软组织OAR较多,勾画时间较长,选择ATS流程进行OAR勾画时为了缩短时间,建议只对计划靶区周围3cm以内的OAR进行修改。
小结与展望
使用MRIgRT技术治疗胰腺癌,实现了胰腺癌SBRT的剂量加量,相比传统放疗技术有着更少的OAR不良反应以及更好的治疗效果,可以提高剂量给量的准确性、精密度和安全性。
目前的研究还缺乏更多的多中心及长期随访数据,由于1.5T磁共振加速器商用化时间更短,与之相关的胰腺癌研究数据尤其缺乏。治疗时间过长是MRIgRT技术的一大缺点,需要更多辅助技术的支持来解决这一问题,比如远程勾画、自动勾画、自动计划等。除了MRIgRT,以质子放疗为代表的粒子治疗是放射肿瘤学中另一热门新兴技术,其有着比光子更高的传能线密度,更好的DNA双链杀伤效果,并且由于其物理特性的布拉格峰的存在,其对OAR的保护也有很大优势。最新的研究表明,结合MRIgRT的质子治疗能够更安全地实现胰腺癌放疗的剂量加量。未来还需要克服更多的问题与挑战,将这两种技术安全有效地结合在一起,以持续改善胰腺癌的治疗效果。
本文来源:
刘亚昕, 刘敏, 郑人川, 等. 磁共振图像引导放射治疗技术在胰腺癌治疗中的临床应用[J]. 中华放射肿瘤学杂志, 2024, 33(4): 371-377. DOI: 10.3760/cma.j.cn113030-20230703-00193.
作者:刘亚昕 刘敏 郑人川 辛欣 杨凤 冯玺 黎杰 王先良 李林涛
若涉及版权问题,请作者联系我们,我们会第一时间处理,谢谢!
小程序上新啦!
SANTRO专题:非小细胞肺癌病例讨论与治疗进展!
宫颈癌专题:宫颈癌治疗新技术分享!
授权转载/合作/投稿/直播请联系「锐博士」
往期回顾
放疗前沿
