Haglund畸形:要和跟腱痛区别治疗
Haglund畸形作为一种常见的足部病理改变,因其症状易与跟腱炎、滑囊炎混淆而常被忽视。本文将系统解析这一疾病的解剖基础、病理机制及康复策略。
01 解剖学基础
跟骨(Calcaneus)作为足部最大的跗骨,其后方突出的骨性结构称为跟骨后上结节(Posterosuperior Calcaneal Tuberosity)。该区域存在三个关键解剖结构:
1.跟腱(Achilles Tendon)止点:人体最强大的肌腱,附着于跟骨后下方,通过腱-骨界面实现力学传导;
2.跟骨后滑囊:位于皮肤与跟腱之间的缓冲结构;
3.跟腱后滑囊:深层滑囊,介于跟腱与跟骨之间。

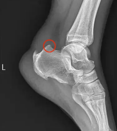
02 什么是Haglund畸形
Haglund畸形特指跟骨后上结节的异常骨性突起。这种结构性改变会导致:跟腱受到持续性机械刺激,滑囊受压产生炎症反应,最终形成跟腱止点病。

03 症状与评估
1. 骨突对跟腱及滑囊的反复挤压,引发:局部缺血,肌腱变性,滑囊炎
2.步态异常:足跟撞击期过度旋前(Overpronation)
3.跟骨后方可视性骨性隆起;

4.鞋帮摩擦产生红肿;

4.晨起时疼痛明显,上楼梯时跟腱紧张感;
5.跟骨夹角(Fowler-Philip Angle)测量:即水平面与跟骨后缘的夹角(Flower-Philipp angle)>75°,正常角度一般不超过69°;

5.X线侧位片评估骨突程度。

05 康复方案
阶段一:急性期管理(0-2周)
离心训练(Eccentric):慢速离心下降(3秒)→ 快速向心提起,每组15次,每日2组;
体外冲击波治疗(ESWT)

阶段二:功能重建期(2-6周)
踝关节稳定性训练;
足底肌激活:毛巾抓握训练,拾取练习。
阶段三:重返活动期(6周后)
逐步恢复正常训练
06 进阶治疗选择
当保守治疗无效时,可考虑:
超声引导下皮质类固醇注射(US-guided Corticosteroid Injection);
微创跟骨成形术(Minimally Invasive Calcaneoplasty)。
Haglund畸形是一个需要多方协作管理的复杂疾病。通过精准的解剖理解、系统的生物力学评估和循序渐进的康复干预,大多数患者都能获得显著改善。建议在出现早期症状时及时寻求专业物理治疗师的评估,避免病情进展。
来源:国家体育总局训练局康复中心,
