胰腺癌的超声诊断及IRE介入超声
胰腺癌具有隐匿性较强、发展速度快、易侵入周围脏器等特点,是一种诊断和治疗都较困难的消化道恶性肿瘤,被称为癌中之王,其5年生存率<1%,是预后较差的恶性肿瘤之一。在临床中,经常用超声检查来辅助诊断胰腺癌。那么胰腺癌的声像图有哪些特点呢?如何通过超声准确地了解胰腺癌呢?徐克成关爱健康直播室日前邀请暨南大学附属复大肿瘤医院超声医学李蓉蓉主任来为我们科普胰腺癌的超声诊断及IRE介入超声相关知识。
在日常工作中,经常有困惑的病人请教李主任一个问题,黑白B超、彩超、三维和四维超声到底都是什么,怎样运用呢?很多人对超声不太了解,所以分不清黑白B超、彩超、三维和四维超声间有何不同之处,要弄清它们之间的区别,首先需了解一下超声发展历程。
一、 超声的起源及发展
黑白超声是较早的超声诊断技术,也就是我们平日里经常说的B超,因为其探头获得的图像是黑白色的而得名。从80年代开始,为了更方便医生对病情的判断,在黑白B超的基础上增添了彩色多普勒超声诊断技术,图像变成以红蓝两种颜色为主,也就是朝向探头的血流设为红色,远离探头的呈蓝色,以此判断血液的流动情况。事实上,这两种B超都属于二维平面图像,本质上没有太大区别,只不过一个是黑白图,一个是彩色图。
随着计算机技术的不断进步,三维B超开始登上历史舞台,其主要是通过二维图像合成模型,获得立体静态三维图像,从而可从各个方位观察图片。四维B超则是在三维超声图像的基础上增加了时间维度参数,实现实时动态三维图像,是目前世界上较先进的彩色超声设备,多用于产科、妇科、儿科、腹部、血管检查等等。所以,三维B超和四维B超的区别在于一个是静态图,一个是动态图。
用超声对胰腺进行观察,我们会发现正常的胰腺长轴切面主要呈现蝌蚪形、哑铃形和腊肠形三种形态,胰腺无包膜回声,主胰管内径小于0.3cm,实质回声均匀,比肝实质回声稍高且粗糙,并随年龄增加而改变。
二、 胰腺癌超声诊断
利用超声对胰腺癌进行诊断的前提是要对胰腺癌的超声表现有一个具体的了解。常见的胰腺癌主要有三种超声表现:
第一种表现为胰腺的形态异常,胰腺内多呈局限性肿大、膨出,也可呈弥漫性肿大。
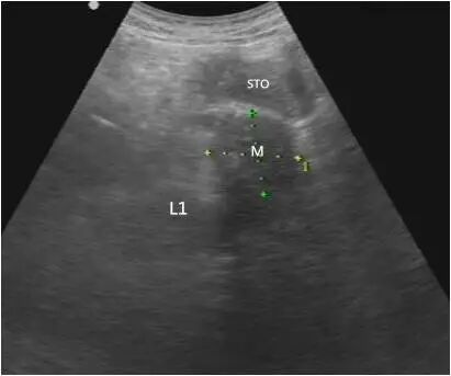
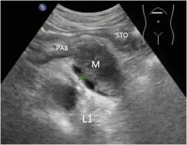
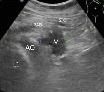
胰体尾部癌
第二种表现为胰腺内肿物不规则或有分叶状的团块回声,肿块边界不清,轮廓不整,向周围组织呈蟹足样或锯齿样浸润。
胰体尾部癌
第三种表现为较小的肿块,内部大多数为均匀低回声,后方声衰减不明显;较大肿瘤呈混合回声,后方回声衰减,也可以看到坏死液化的无回声区。
李主任也给我们介绍了胰腺癌声像图的四种间接征象,便于我们更深入地了解胰腺癌。
第一种间接征象可以帮助我们区分不同部位胰腺癌的病灶表现:发生在胰头和胰体的肿瘤,胰管会呈现不同程度地扩张;发生在胰尾部和钩突部的肿瘤,胰管基本不会扩张;发生在胰管上皮的肿瘤,胰管扩张明显,典型时胰管内会出现中等回声的肿快。
第二种间接征象可以帮助我们判断胰头癌是否压迫或浸润了胆总管,当胰头癌压迫或浸润胆总管时,胆囊增大,由于肿块的压迫,扩张的胆总管会突然截断在胰腺肿块内。
第三种间接征象可以帮助我们判断周围血管是否受到压迫或浸润,若周围血管受压或浸润时,超声图可以看到血管移位变形及肿瘤包绕住了血管,或者腔内出现实质性的肿物回声。
第四种间接征象肝脏是胰腺癌血行转移最常见的脏器,胰腺癌淋巴转移较早,超声均可见相应的肿块回声。做检查时,若发现胰腺周围呈现低回声和团状的肿块,需要进一步鉴别诊断胰腺恶性肿瘤。
一般来说,利用彩色多普勒图像在较小的胰腺肿瘤内是很难检出血流的信号,只有在肿瘤增大时才能在肿块的周边或内部看到少许血流信号。
典型胰腺癌超声造影会呈现晚进快出的特点,也就是说,造影开始增强的时间较晚于胰腺实质,开始减退时间较早于胰腺实质。在动脉期肿块内呈现低增强,周边呈现不均匀增强,内部则呈现为不规则且无增强区。
三、 胰腺癌超声的鉴别诊断
利用超声,通过病史、化验、肿块形态、内部回声、胰管改变、转移征象等,一方面可以区分开胰腺癌与胰腺本身的疾病,另一方面可以助力鉴别肿瘤究竟属胰腺癌还是属胰腺周围脏器。
如何划清胰腺癌与胰腺本身的疾病的界限呢?以胰腺癌与慢性胰腺炎的区别为例,在病史、化验方面,胰腺癌刚开始表现为病情隐匿,随后逐渐加重;而慢性胰腺炎的病情则表现为反复发作,且淀粉酶呈升高趋势。在肿块形态方面,胰腺癌一般会出现局部肿大、膨出,呈浸润生长趋势;慢性胰腺炎则无明显肿块形态,胰腺呈现弥漫性改变的情况。在内部回声方面,胰腺癌表现为不均匀低回声,且回声有所衰减;慢性胰腺炎的回声则呈现弥漫性增强。在胰管改变方面,胰腺癌呈现均匀性增宽,或串珠样改变;慢性胰腺炎则呈现不均匀串珠样增宽。在转移征象方面,胰腺癌会出现肝转移及腹膜后淋巴结肿大;慢性胰腺炎则不会转移,但胰周可以看到一些淋巴结,这些淋巴结的形态都是良好的。
如何鉴别是胰腺癌还是属胰腺周围脏器肿瘤?李主任也以胰腺癌与胆总管下段癌、壶腹部癌的区别为例,向我们进行具体说明。胆总管下段癌和壶腹部癌等都可能会引起胆总管、胆囊、肝内胆管及胰管扩张,通过超声可以直接看到肿瘤的征象,但瘤体较小者难以显示。而胰腺大小形态不会引起胆总管、胆囊、肝内胆管及胰管的改变。通常,胰体癌应该和肝癌进行鉴别,胰尾癌需同左肾癌、左肾上腺癌、胃肿瘤等进行鉴别。
此外,功能性胰岛细胞瘤常出现低血糖的症状,肿瘤小,超声较难发现。无功能性胰岛细胞瘤病程长,症状轻,肿瘤生长较大,呈现低回声与高回声混合。巨大胰岛细胞瘤可囊性变呈无回声区,肿瘤边缘清晰,且包膜光滑。
从李主任的介绍中,我们可以了解到超声对胰腺癌诊断有重要价值,对于大于1CM肿块并向外突出的胰腺癌诊断正确率较高,因为这类胰腺癌的形态发生了明显的变化,我们能够从超声图中明显地观察到。但对于小于1CM肿块且不外突的胰腺癌,特别是胰腺钩突癌、胰体、胰尾癌诊断的敏感性和特异性相对较差,需要结合CT、MR等进行综合诊断。
四、 胰腺癌不可逆电穿孔超声介入
不可逆电穿孔(IRE)也被称为纳米刀,它是一种非热能的新型肿瘤消融技术,主要是通过探针释放高压脉冲,在肿瘤细胞上形成纳米级永久性穿孔,从而破坏细胞内的平衡,达到使肿瘤细胞快速凋亡的目的,常被用于胰腺和肝脏肿瘤的治疗中。纳米刀突出的优势是不产热,这样就能保留消融区重要的组织结构,激活免疫系统,增强对原发肿瘤以及转移瘤的免疫杀伤作用。在操作过程中使用超声进行实时监控,整体消融时间较短。
为了便于大家更深入地了解超声在纳米刀治疗中的重要作用,李主任在直播中也详细地介绍了超声引导纳米刀进行治疗的具体操作过程。
首先,利用超声进行探查,明确病灶的位置、大小形态、有无胰管扩张、以及病灶与周围脏器及大血管的关系。
其次,确定超声引导的方向及入路,以避开重要器官及血管等,沿着超声引导线方向缓慢进针,如遇到呼吸运动而产生探针移位时,要随时调整,以保证按预先安排的入路进针。
再次,超声要测量针距,确认两针的距离在1.3-2.5cm以内,以便达到疗效。
最后,固定好探针的位置进行放电消融治疗。
在消融过程中利用超声实时的监控纳米刀探针的位置,消融区的大小以及消融区的具体边缘。开始放电时,超声可见探针周围迅速产生高回声弥散区,并随时间逐渐扩大至肿瘤边缘,退针时可见条带状高回声针道。纳米刀充分消融直径1cm以内的实体肿瘤,一般所需脉波数为70-90个,持续时间为90-100毫秒的超短脉冲。当肿瘤较大时,可变换探针的位置和方向,采取分组多次全面消融,直至超声显示完全覆盖肿瘤,在这过程中,穿针进行精准定位消融区所需的时间也会相对较长,手术时间可达2-3小时。
在完成纳米刀的治疗后,超声这个角色也缺不得。术后要观察各种指标是否正常,有无出血的超声表现,也要用超声造影检查评估消融的疗效,以及病灶周围的血管,胰管,胆管等组织结构是否出现损伤的情况等,若有未完成消融的肿瘤边缘,也可以进行补充性治疗。
因胰腺的位置较为特殊,属于腹膜后器官,前方有胃及十二指肠,后方有脾动静脉,下腔静脉,腹主动脉及腹腔干等,因此在行纳米刀超声引导时要注意尽可能避免损伤胃肠道及后方大血管,不过,纳米刀探针为19G的即使误伤到小血管也不会造成太大影响。但是,当肿块伴有主胰管扩张时,要避免损伤扩张胰管,这样可以减少术后并发症的发生率。
超声具有方便、价格低廉、无辐射、安全及诊断准确等优势。虽然纳米刀技术应用于临床的时间较短,属于一种比较新型的治疗方式,对于不能手术切除的胰腺癌患者纳米刀治疗相对来讲更加安全有效。对比传统的手术,纳米刀也具有治疗周期短、并发症少、恢复快等优点,联合化疗进行纳米刀消融也可以改善患者的预后。
综上,随着医学技术的发展,IRE介入超声的应用也将越来越普及,技术也会随之更加完善。
